ホワイトニング症例
Case Report of Whitening
院内で施術を行うオフィスホワイトニングのビフォー・アフターをご紹介しております。
定期的にメンテナンスを行っていただくことで色戻りも少なく、自然な明るさの白い歯を長く維持することができます。
オフィスホワイトニング
- 内容
- ホワイトニング材とホワイトニング専用照射器を併用して歯を白くします
- 費用(自費)
-
初回 33,000円(税込み)
2回目以降、3ヶ月以内は6,600円(税込み) - 期間・回数
- 約60分/3回照射
- 副作用・リスク
- 個人差がありますが、施術中や施術後に歯がしみる場合があります
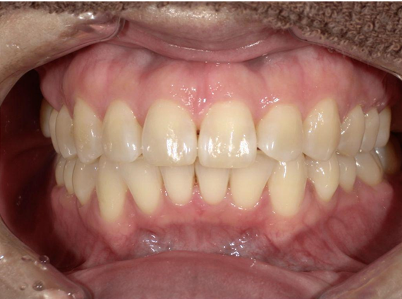
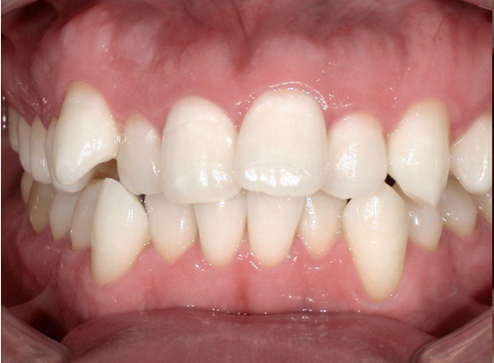
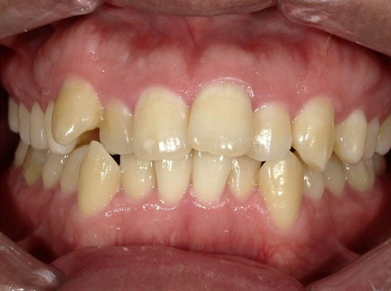
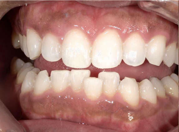
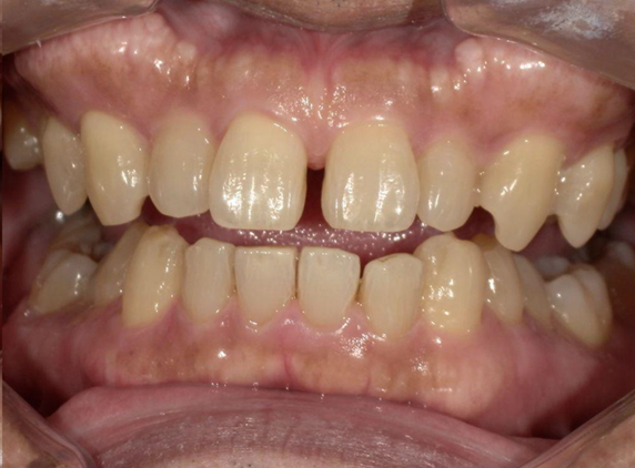
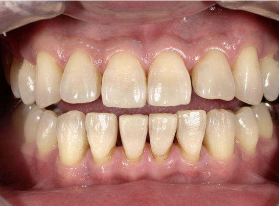
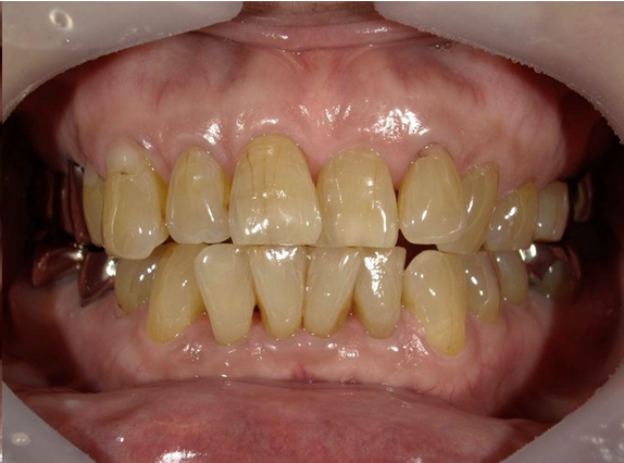
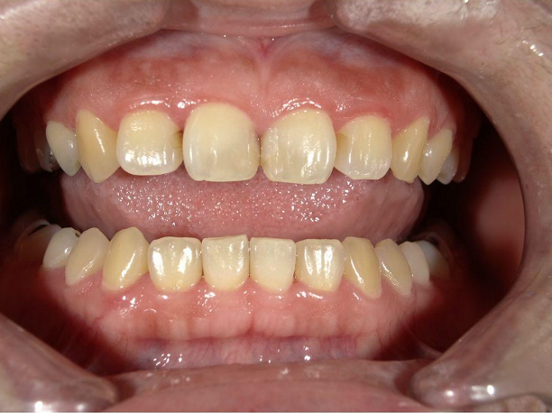
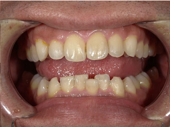
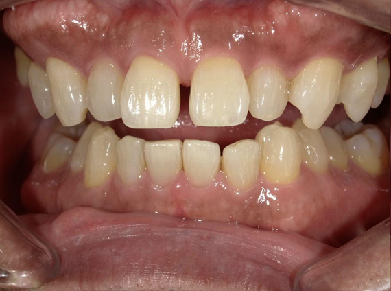
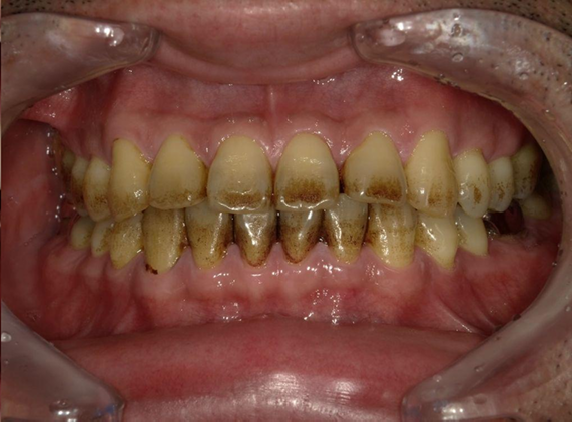
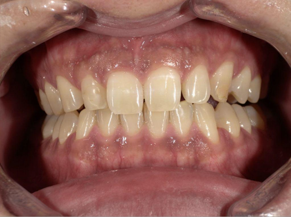
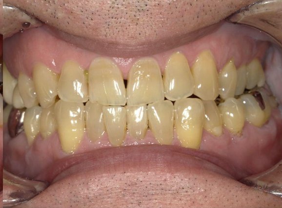
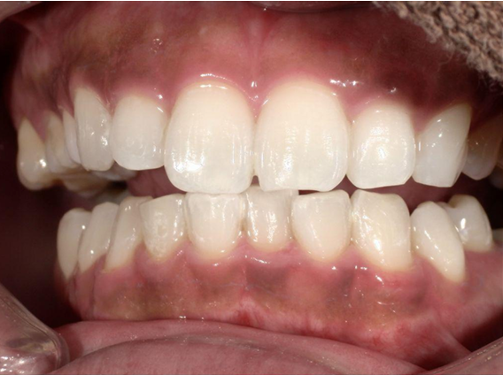
Case.1
ホワイトニング前後の比較
Before
After
詳細
| 年齢・性別 | 30代・女性 |
|---|---|
| 治療期間 | 1ヶ月(1ヶ月に1度のホワイトニングと3ヶ月に1度の検診) |
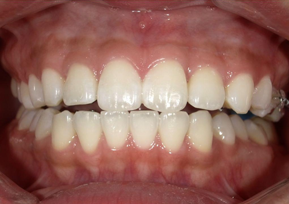
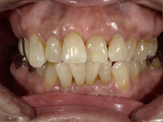
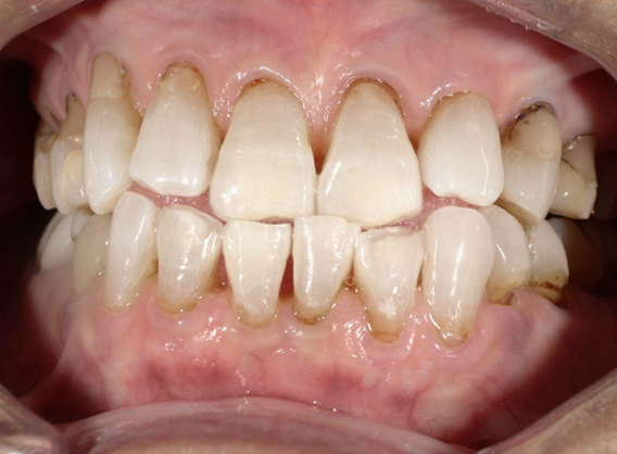
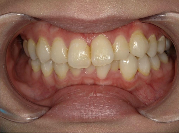
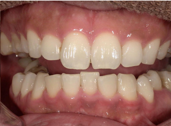
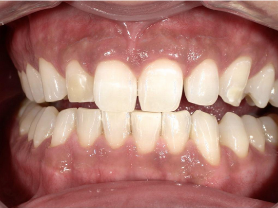
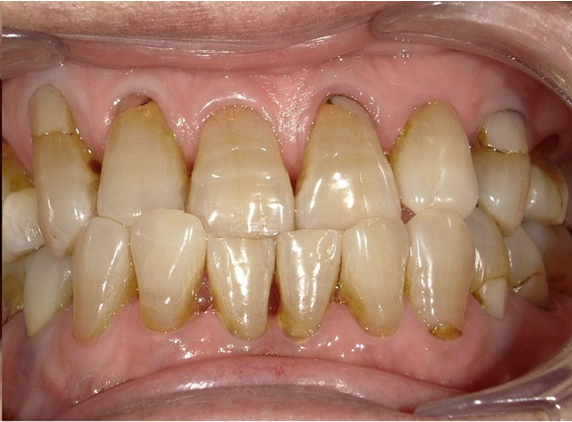
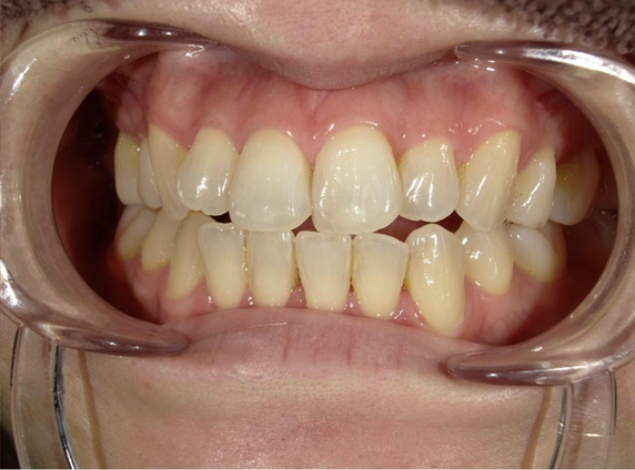
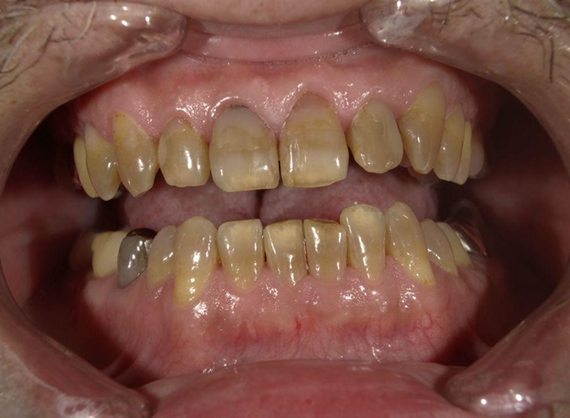
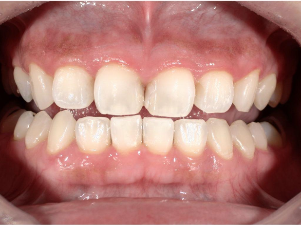
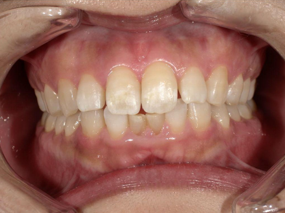
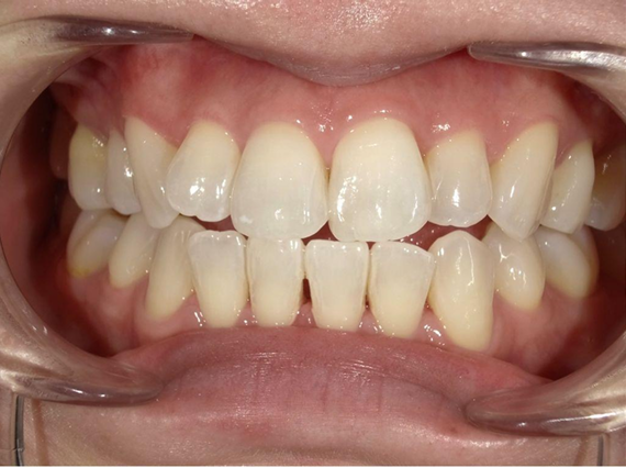
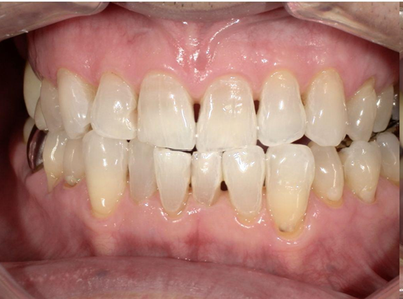
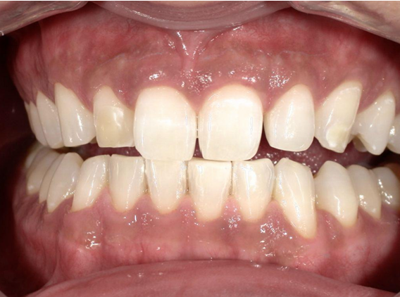
Case.2
ホワイトニング前後の比較
Before
After
詳細
| 年齢・性別 | 60代・男性 |
|---|---|
| 治療期間 | 6年(3ヶ月に1度のホワイトニングと年に1回の検診) |
Case.3
ホワイトニング前後の比較
Before
After
詳細
| 年齢・性別 | 20代・女性 |
|---|---|
| 治療期間 | 2年(3ヶ月に1度の検診とホワイトニング) |
Case.4
ホワイトニング前後の比較
Before
After
詳細
| 年齢・性別 | 20代・女性 |
|---|---|
| 治療期間 | 約4年(3ヶ月に1度の検診とホワイトニング) |
Case.5
ホワイトニング前後の比較
Before
After
詳細
| 年齢・性別 | 30代・女性 |
|---|---|
| 治療期間 | 6年(3ヶ月に1度の検診とホワイトニング) |
Case.6
ホワイトニング前後の比較
Before
After
詳細
| 年齢・性別 | 80代・女性 |
|---|---|
| 治療期間 | 6年(3ヶ月に1度の検診とホワイトニング) |
Case.7
ホワイトニング前後の比較
Before
After
詳細
| 年齢・性別 | 20代・女性 |
|---|---|
| 治療期間 | 9ヶ月(月に1度の検診とホワイトニング) |
Case.8
ホワイトニング前後の比較
Before
After
詳細
| 年齢・性別 | 30代・男性 |
|---|---|
| 治療期間 | 約2年(3ヶ月に1度の検診とホワイトニング) |
Case.9
ホワイトニング前後の比較
Before
After
詳細
| 年齢・性別 | 40代・男性 |
|---|---|
| 治療期間 | 10ヶ月(3ヶ月に1度の検診とホワイトニング) |
Case.10
ホワイトニング前後の比較
Before
After
詳細
| 年齢・性別 | 50代・男性 |
|---|---|
| 治療期間 | 2年(3ヶ月に1度の検診とホワイトニング) |
Case.11
ホワイトニング前後の比較
Before
After
詳細
| 年齢・性別 | 70代・女性 |
|---|---|
| 治療期間 | 2年(3ヶ月に1度の検診とホワイトニング) |
Case.12
ホワイトニング前後の比較
Before
After
詳細
| 年齢・性別 | 20代・男性 |
|---|---|
| 治療期間 | 1年(3ヶ月に1度の検診とホワイトニング) |
Case.13
ホワイトニング前後の比較
Before
After
詳細
| 年齢・性別 | 40代・男性 |
|---|---|
| 治療期間 | 1年(3ヶ月に1度の検診とホワイトニング) |
Case.14
ホワイトニング前後の比較
Before
After
詳細
| 年齢・性別 | 50代・男性 |
|---|---|
| 治療期間 | 1年(3ヶ月に1度の検診とホワイトニング) |
Case.15
ホワイトニング前後の比較
Before
After
詳細
| 年齢・性別 | 40代・女性 |
|---|---|
| 治療期間 | 1年半(3ヶ月に1度の検診とホワイトニング) |
Case.16
ホワイトニング前後の比較
Before
After
詳細
| 年齢・性別 | 40代・女性 |
|---|---|
| 治療期間 | 1年半(3ヶ月に1度の検診とホワイトニング) |
Case.17
ホワイトニング前後の比較
Before
After
詳細
| 年齢・性別 | 40代・男性 |
|---|---|
| 治療期間 | 1年(3ヶ月に1度の検診とホワイトニング) |

